
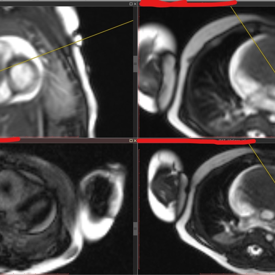
Опухоли сердца у детей — гетерогенная группа новообразований, произрастающая из тканей и оболочек сердца. Опухоли могут развиваться из любых тканей сердца и возникать в любом детском возрасте. У плода они могут быть обнаружены с помощью фетальной эхокардиографии, начиная с 16-20 нед. внутриутробного развития.
Все опухоли сердца несут потенциальную опасность возникновения смертельно опасных осложнений - сердечной недостаточности, аритмий, перикардита, тампонады сердца, системных эмболий.
Первичные доброкачественные опухоли сердца:
| Злокачественные опухоли сердца:
|
Проявления опухолей сердца обусловлены типом новообразования, его локализацией, величиной, способностью к распаду:
При сдавлении опухолью камер сердца или венечных артерий, возникают одышка, боли в груди. Рост опухоли или кровотечение может приводить к развитию тампонады сердца.
Опухоли сердца с интрамиокардиальным ростом (рабдомиомы, фибромы), сдавливающие или внедряющиеся в проводящую систему, сопровождаются атриовентрикулярной или интравентрикулярной блокадой, пароксизмальными тахикардиями (наджелудочковыми или желудочковыми).
Внутриполостные опухоли сердца, главным образом, нарушают функцию клапанов и препятствуют току крови из камер сердца. Они могут вызывать явления митрального и трикуспидального стеноза или недостаточности, сердечной недостаточности. Симптоматика внутриполостных опухолей сердца обычно возникает при смене положения тела в связи с изменением гемодинамики и физических сил, действующих на опухоль.
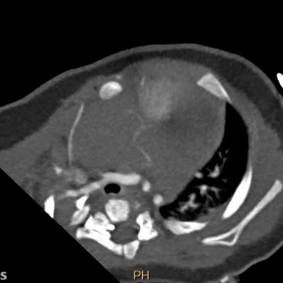
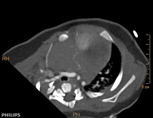
Выполняется трансторакольное ЭХОКГ исследование, которое позволяет заподозрить локализацию и размер опухоли, ее соотношение с другими анатомическими структурами сердца.







Опухоли сердца лечатся хирургическим путем. Операции при опухолях сердца могут включать удаление внутриполостной опухоли, удаление опухоли миокарда или перикарда, перикардэктомию, удаление кисты перикарда.
В ходе радикальной операции производится иссечение опухоли сердца с прилежащими окружающими тканями, ушивание или пластика дефекта. Доброкачественные опухоли сердца в большинстве случаев могут быть удалены радикально.


